假性动脉瘤

中国超声医学工程学会    |    2023-04-12

超声与多普勒技术是诊断腹股沟区血管损伤的准确方法。


血管损伤常为医源性(动脉导管插入术),也可见于耻骨和股骨颈骨折移位、挤压伤、钝器伤等。

最常见的动脉损伤部位是股总动脉和股浅动脉近端,主要的并发症为假性动脉瘤,其他少见的并发症包括血栓形成、动静脉瘘、动脉夹层、内膜瓣及血管周围血肿。

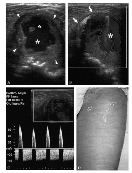
股动脉假性动脉瘤为血管壁撕裂后,血液从动脉漏入进入周围组织,常表现为动脉附近界限清楚的搏动性团块(图 一),常有附壁血栓,并部分充填于假性动脉瘤囊腔内。
4.122.png
一 股动脉假性动脉瘤,患者股总动脉穿刺后,腹股沟区出现一个搏动性隆起
腹股沟区12~5MHz超声灰阶图像(A)和彩色多普勒图像斜矢状断面(B)显示一个大的混合性肿物(箭头端)、壁厚中心腔形状不规整(* )。彩色多普勒超声显示肿物内存在涡流血流,通过一个细颈和移位的股动脉(箭头)相连。C. 在交通通道内的多普勒频谱显示为双向流速频谱,收缩期为前向血流,舒张期为反向血流。D. 照片显示股三角区软组织隆起(箭头),是为假性动脉瘤


假性动脉瘤内血流呈典型的红蓝交替的涡流(图一B)。

在绝大多数病例,彩色多普勒能够显示到动脉与假性动脉瘤之间直接相通及颈部。

多普勒频谱分析示颈部的血流呈双向高速血流,收缩期由损伤的动脉进入瘤腔内,舒张期从瘤腔内排出,即所谓的往返信号(图一C)。

临床上腹股沟区搏动性肿块还可见于软组织团块,如位于动脉浅层的肿大淋巴结可增强动脉的收缩性搏动向皮肤传导,也可见于动脉下方的结构使动脉移向皮肤,这两种情况均可用超声来排除假性动脉瘤。

超声亦可用来帮助压迫假性动脉 瘤 使 其 闭 合,成 功 率 为 75% ~80%。一旦用超声明确了假性动脉瘤的颈部,可用探头在该处施压,并应用彩色多普勒观察,直到腔内血流信号消失,压迫 时 间 以 15~60min 为 宜。

压迫后,用彩色多普勒证实y股,e动t脉裂口是否闭合,并于闭合24h后应用彩色多普勒证实假性动脉瘤是否闭塞。

最近报道亦有在超声引导下直接向假性动脉瘤腔内注入   ,这种方法优于压迫法修补法,甚至可用于治疗那些不能压迫治疗的假性动脉瘤,包括颈部血流无法阻断者、发生于腹股沟韧带近端者,以及有显著腹股沟压痛者。

如操作得当,注射凝血酶是安全的,没有明显的并发症 或 发 生 后 期 血 栓 栓 塞 的 危 险。大多数情况下,注射凝血酶后几秒钟即可发生假性动脉瘤血栓形成。


上一篇:没有了 下一篇:没有了