上肢深静脉超声检查

作者:王聪单位:河北医科大学第三医院超声医学科上肢深静脉的超声检查流程:超声的作用上肢疼痛和肿胀时,排除或确认是否存在深和/或浅静脉血栓形成。凝血状态改变,口服避孕药,举重,上肢、颈部、乳房手术或创伤的患者,易发生上肢静脉血栓 。局限性肥胖患者或严重水肿患者会影响扫描质量,导致只能排除闭塞性血栓,开放性伤口/缝合线患者的声窗和细节可能会受限。锁骨下静脉中段被锁骨遮盖。设备选择使用中频探头 (5-8MHZ)。 通常使用凸阵探头比线阵探头更容易显示静脉图像,尤其是在进行压缩视图时。在评估低流速静脉时,应用低壁滤波器、低 PRF(速度)和多普勒设置。改变探头的频率输出,充分评估浅静脉和深静脉的结构。患者体位患者仰卧位,手臂放在身边,掌心向上。患者坐位,掌心向前。 深静脉血栓的声像图:彩色多普勒显示血管不可压缩或充盈缺损。在不增加增益的情况下,急性血栓呈低回声,难以在二维模式下显示。通常静脉会增宽并局部压痛。血栓呈“舌”状伸入管腔,向近心端延伸。随着时间增加,血栓回声逐渐增强。陈旧的慢性血栓呈高回声,从静脉壁回缩,在其周围管腔重新再通。 扫描流程检查深静脉时,从颈部开始从近端至远端扫描锁骨下静脉患者仰卧位,双臂放在两侧。在颈部的前外侧做横断面扫描。使用彩色多普勒,找到颈静脉并沿着与锁骨下静脉的交界处向下。在横断面和纵断面上,应用彩色多普勒扫描锁骨下静脉,以排除非闭塞性充盈缺陷。腋静脉患者仰卧位,手向上放在头上,肘部横向弯曲以方便扫查腋窝。应用彩色多普勒找到远端锁骨下动脉,向下扫描至腋窝,并在横断面B型模式压缩静脉。在上臂近端,贵要静脉和肱静脉汇合成腋静脉。上臂静脉(肱静脉 & 贵要静脉)患者坐位,手臂旋后。贵要静脉较粗且较浅。通常是单支的,也可能有多支。延着腋静脉向下扫描贵要静脉和肱静脉,并在横轴平面上压缩管腔。 在肘窝前,肱静脉分为桡静脉和尺静脉。前臂静脉(桡静脉&尺静脉)患者坐位,延着桡静脉和尺静脉扫查至手腕,确认可压缩性和血流。与小腿的静脉一样,前臂的静脉通常成对走行。基本图像留存上肢深静脉应至少包括以下图像锁骨下静脉近端和远端彩色血流充盈图像腋静脉彩色充盈和静脉压缩前/后 的图像肱静脉近端和远端静脉压缩前/后的图像贵要静脉近端和远端静脉压缩前/后的图像 桡静脉近端和远端静脉压缩前/后的图像尺静脉近端和远端静脉压缩前/后的图像必要时扫描头静脉记录正常的解剖结构。任何病理异常应该记录两个断面的图像,并测量大小和血流情况。 

2022-03-28

阴囊的超声检查

作者:刘慧新单位:河北医科大学第三医院超声医学科阴囊超声检查的内容:附睾睾丸蔓状静脉丛精索、精索静脉及腹股沟区(精索的扫查应包括睾丸动脉、提睾肌动脉、输精管、蔓状动脉丛、神经及淋巴管等)探头纵向扫查睾丸正常睾丸矢状面图像阴囊结构解剖正常附睾头矢状位图像阴囊超声检查超声在阴囊检查中的作用阴囊的超声检查通常用于以下方面:疼痛疼痛位置?(哪一侧)疼痛性质?(钝痛还是锐痛)疼痛频率?(持续还是偶尔)疼痛发生的时间?急性还是慢性 是否向上腹部放射?阴囊外伤不育症病因筛查睾丸发育不良或下降异常阴囊急症(急性炎症?创伤?扭转?等)的诊断精索静脉曲张的诊断及曲张程度 鞘膜积液 阴囊及阴囊外组织感染(睾丸及附睾炎症、前列腺炎等) 多囊肾隐睾症超声探头的选择及仪器调节对阴囊内部结构进行扫查,应使用高频探头(7-15MHz)。评估睾丸内部血流情况时,应适当调节彩色/频谱多普勒条件(低脉冲、高增益)当阴囊明显肿大,不能显示全貌时,以及寻找腹盆腔内隐睾时,适度调整超声探头频率,加用低频率凸阵探头。扫查技术病人的准备必须确保患者在舒适状态进行检查。使用毛巾或者患者自身衣物将阴茎覆盖并上提,以助于更好的暴露和固定阴囊。尽可能使用温度适宜的超声耦合剂进行检查。首先对阴囊进行横切面扫查,显示双侧睾丸,对比双侧睾丸内部回声。分别对两侧睾丸进行纵切及横切面连续扫查。在扫查过程中,可能需要对所扫查侧的睾丸稍加用力,以更好的固定睾丸;当对一侧鞘膜积液进行扫查及测量时,探头要轻微,不可加压扫查。首先确定附睾头位置,横切面向下依次扫查附睾体及附睾尾部。应用频谱多普勒评估睾丸内部及周围血管情况。当对精索静脉及疝气进行检查时,应嘱患者在站立位状态下进行Valsalva动作。如果在扫查过程中,发现患者存在精索静脉曲张,应扩大扫查范围,完整评估睾丸静脉的起始点。(例如:是否有睾丸外肿物压迫睾丸静脉)如果怀疑患者存在疝气,需按疝气扫查标准进行检查常见疾病睾丸外肿物或软组织肿胀鞘膜积液睾丸炎症、附睾炎症或睾丸-附睾炎附睾囊肿精索静脉曲张隐睾症或睾丸下降异常阴囊丘疹睾丸微石症阴囊疼痛伴肿胀的4个主要原因:睾丸扭转(20%)阴囊软组织感染/炎症(75-80%)阴囊及周围软组织出血阴囊或腹股沟位崁顿疝扭转致急性睾丸坏死,最终致睾丸外形萎缩,睾丸扭转属于外科急症,需立即外科手术处理。引起阴囊疼痛的疾病中附睾炎与扭转的比例与年龄相关:附睾炎:扭转 =3:2(年龄小于20岁人群)附睾炎:扭转 =9:1(年龄大于20岁人群)阴囊内部肿物生殖细胞肿瘤精原细胞瘤除精原细胞瘤外生殖细胞肿瘤阴囊超声检查描述阴囊超声检查应包括以下方面:横切面上显示两侧睾丸回声 每侧睾丸分别进行横切面及纵切面扫查 每侧睾丸最大横切面测量每侧睾丸纵切面图像每侧睾丸最大纵切面测量双侧附睾扫查:包括附睾头、体、尾部彩色多普勒显示两侧睾丸内部的血流信号情况精索静脉扫查超声报告中记录正常的睾丸解剖结构(如大小、内部回声、血流情况及周围软组织表现)。如发现异常回声,需在纵横两个切面进行扫查并测量,显示病灶的血流情况腹股沟淋巴结有无异常增大

2022-03-24

静脉瓣膜功能不全超声表现(静脉曲张)

作者:刘慧新单位:河北医科大学第三医院超声医学科静脉功能不全(VI)和慢性静脉功能不全(CVI)是可以互换的术语静脉内血流动力学正常静脉血流和静脉瓣的活动正常情况下,浅静脉系统内血液回流入皮下组织内,并通过穿支静脉周期性的将血液引流入深静脉系统。血流方向应始终朝向头侧,由浅静脉向深静脉流入血流动力学功能不全的瓣膜和穿支引起静脉血流反流异常情况下的血流动力学:随着肢体远端压力的增大,早期管腔内静脉血流方向仍是朝向头侧的,仍可通过异常的静脉瓣膜引流下肢血液。此时,下肢深静脉管腔内的血流通过异常的交通支静脉流入浅静脉内,这种负压机制可以导致静脉管腔的扩张及静脉走形迂曲。正常的静脉瓣膜结构什么是静脉曲张?静脉瓣膜静脉系统包含很多瓣膜结构以完成血液的回流,这些瓣膜结构可以防止血液逆流。这些静脉瓣膜结构就像两扇敞开的大门,平时处于开放状态,如果加压探头或肢体远端压力增大,瓣膜就会处于关闭状态,以防止下肢血液逆流。静脉瓣膜在其功能正常的情况下,可以很好的起到一个静脉阀门的作用。但是一旦静脉管腔内的血流出现反流现象,那么说明静脉瓣膜系统出现了问题。根据瓣膜功能不全的程度,反流入浅静脉内的血流可使浅静脉管腔扩张、走形迂曲。静脉曲张的原因包括:家族遗传性因素。瓣膜结构薄弱,不能紧密闭合;瓣膜发育异常或缺如。外伤或者血栓形成,瓣膜附着于静脉管壁上,使瓣膜黏连受损,活动受限。深静脉是血液回流入心脏的主要途径。深静脉收集所有浅静脉及肌间静脉管腔内的血液。浅静脉系下肢有两条较重要的浅静脉: 1.大隐静脉,起始于踝关节内上方,沿腿部内侧向上走行,在腹股沟区隐—股静脉交界处汇入股总静脉。 2.小隐静脉,在足外侧缘起自足背静脉弓,沿小腿后方上行至腘窝处,    于隐—腘交界处汇入腘静脉。通常情况下,小隐静脉可继续上行延至    大腿后方的Giacomini静脉,汇入股浅静脉中下段或大隐静脉根部。隐—股汇合处静脉及隐—腘汇合处静脉功能不全是导致下肢静脉曲张的两个重要因素。股-隐静脉汇合处1、大隐静脉起始端于腹股沟区起始于股总静脉2、瓣膜破坏常首先发生于隐-股静脉瓣,因该处瓣膜位置最高,解剖位置浅表,缺乏肌肉保护。隐-腘静脉汇合处(SPJ)1、小隐静脉常于腘窝处汇入腘静脉2、约25%人群不存在SPJ,而是小隐静脉继续上行延伸为Giacomini静脉,汇入股浅静脉。3、仅有15%的人存在中位SPJ,其余的隐-腘结合位于小腿的内侧/外侧,通常经过腓静脉汇入腘静脉隐-腘静脉汇合处(SPJ)解剖示意图.小腿横断面显示小隐静脉的“眼状”图小隐静脉可不通过隐腘交界处直接移行为Giacomini静脉,上图所示为正常的SPJ结构与Giacomini静脉静脉功能不全的超声检查方案超声在静脉功能不全方面的作用确定下肢静脉曲张的原因及反流程度超声检查适应征静脉曲张性溃疡下肢肿胀静脉曲张性皮损患者有不同程度的下肢不适的病史及主诉超声检查的局限性理想情况下,应在患者直立或尽可能直立的情况下进行检查。有些病人在进行这些动作会有困难。  腿部明显水肿或溃疡会影响扫描质量。仪器设备选择使用中高频率(7-10MHZ)线阵探头可更好地显示下肢静脉。根据病人的身体状况,如肥胖、下肢肿胀等情况下行深静脉检查,可加备2-5MHZ低频凸阵探头评估深静脉。下肢静脉内血流速度相对较低,超声检查时应选择对低速血流较为敏感的彩色多普勒和脉冲多普勒设置,如低的流速、低的壁滤波等患者体位理想情况下,应在患者直立或尽可能直立的情况下进行扫描。但有些病人站立位会有困难,且偶尔会感到头晕或疲倦。在进行下肢静脉超声检查时,使用可升降或一端倾斜的检查床,保持头高足低位,即检查床与地面的夹角在30°以上有利于操作。病人仰卧位,轻轻弯曲其被检侧膝盖,被检侧下肢外旋,另一侧下肢保持水平伸直状态。检查技术深静脉超声检查步骤有深静脉血栓病史的患者,血栓后综合征可导致深静脉功能不全。深静脉瓣功能不全或深静脉血栓是进行深静脉超声检查的相对禁忌症。从腹股沟经大腿前、内侧扫查与同名动脉伴行的股总静脉、股深静脉及股浅静脉,分别采用远侧肢体挤压法检测各静脉是否存在反流。髂外静脉没有静脉瓣,所以不需要对其进行静脉功能不全的检查。检查股浅静脉近端:探头纵切,与血管方向平行,使用彩色和频谱多普勒技术。可嘱病人深吸气,屏气过程中用力做呼气动作以增加腹压。此时,如静脉瓣功能不全,静脉管腔内可显示反流血流信号。注意:由于静脉瓣膜作用,正常静脉内反流时间不会超过0.5s。检查股浅静脉远端: 嘱患者做Valsava动作以增加腹压,或者挤压远侧肢体诱发静脉反流。 从腘窝开始,分别向大腿远侧和小腿近侧扫查腘静脉,腘静脉与其伴行腘动脉极易显示,需要注意不要将肌内静脉误作腘静脉,检查方法同股浅静脉。大隐静脉(LSV)超声检查步骤从腹股沟部显示隐-股汇合处,采用远侧肢体挤压法或Valsava动作检测其瓣膜功能。如果存在瓣膜功能不全时,应记录穿支静脉与下肢浅表解剖标志之间的距离(如距腹股沟皮肤皱褶、腘窝皮肤皱褶等)小隐静脉超声检查步骤纵断面显示隐—腘静脉汇合处,沿小腿向下扫查小隐静脉主干及其属支。采用远侧肢体挤压法检测其瓣膜功能。如果瓣膜功能异常,测量隐—腘静脉汇合处直径,测量隐腘静脉汇合处与腘窝皮肤皱褶之间的距离。下肢腓神经常与小隐静脉相伴行,从小腿中部向下至脚踝。如果小隐静脉瓣膜功能不全,我们在超声报告中应提示腓神经是否与小隐静脉有相关性。在外科手术中,手术医师他们可能会将其混淆。交通支静脉的超声检查步骤穿支静脉,顾名思义,连接浅静脉深静脉。根据其定义,穿支静脉须穿过浅层脂肪组织和肌筋膜。探头横切,反复上下扫查小腿内侧,扫查小腿深静脉全程,显示与其相连接并穿过筋膜的穿支静脉。静脉管腔内血流方向应始终为由浅向深。如果超声扫查到血流方向变为从深到浅,则表明静脉瓣膜功能异常,静脉瓣功能不全且直径较大(>3mm)的穿支静脉具有临床意义。最常见的穿支静脉如图所示。上图所示位于小腿远端2/3处的内侧胫骨旁的“Cockets”穿支静脉是最常见的。超声描述静脉功能不全的超声检查应包括以下描述:1、显示股总静脉分叉处2、显示股浅静脉近端及远端,明确管腔内血流是否通畅3、显示腘静脉,明确管腔内血流是否通畅4、显示隐股汇合处及隐腘汇合处,明确瓣膜功能是否正常。任何瓣膜功能异常的静脉,均应记录其直径、距皮深度、曲张与否及与浅表解剖标志之间的距离。标记曲张静脉及正常静脉5、如果超声检查过程中发现静脉血栓形成,应按照相应指南做出相应的超声描述。

2022-03-23

声声入耳: 左心耳封堵与TEE

2021-12-22

1例下腔静脉血栓经颈静脉穿刺置管溶栓的术后演变

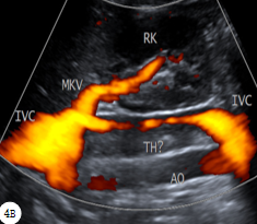
河北医科大学第二医院   东院区超声科  赵雅培患儿女,13岁,因“腰痛伴发热5天、呼吸困难3天”就诊。患儿于5天前无明显诱因出现腰痛,为持续性胀痛,伴发热,无心慌、乏力,无尿频、尿急,于3天前就诊于当地县医院。腰椎正侧位示:腰椎骨质结构未见异常。超声检查:肾脏未见异常,下腔静脉血栓(图1)。肺部CT示:双肺片状渗出(肺炎)。遂行经颈静脉穿刺置管溶栓术、抗感染,患者症状未改善,为进一步诊治遂入我院。急查超声并完善各种检查,下腔静脉超声:①下腔静脉溶栓导管(图2A)②下腔静脉肾静脉水平以下血栓伴管腔重度狭窄(较溶栓前范围明显延伸,图2B)。WBC 2.90×109/L,N 91.69%;CRP 191.8mg/L,FDP 91.81ng/L,D二聚体 7.6ug/ml。血培养:金黄色葡萄球菌阳性。考虑患儿“重症肺炎、脓毒症、下腔静脉血栓伴脓栓”诊断成立。考虑溶栓导管术后疾病进展,遂拔除颈静脉置管,静脉注射人免疫球蛋白支持治疗,中和免疫介质,调节免疫力。患儿住院第6天,体温较前升高,最高达38.8℃,间断诉胸闷、呼吸困难,伴烦躁,腰痛;WBC 15.08×109/L,N 93.42%;CRP 286.00mg/L,FDP 15.07ng/L,D二聚体 1.35ug/ml,抗凝治疗有效。肺部CT:两肺广泛多发团、片状结节,部分病变内见小空洞,考虑多发感染(图3A)。追问病史,患儿于1月前面部疖肿,累及范围较大、位置较深,有挤压史,迁延自愈,故金黄色葡萄球菌感染来源及诊断明确。患儿住院第16天,体温恢复正常,阵发性咳嗽伴右侧胸痛,偶诉腰痛。胸部螺旋CT:两肺内多发球形或团状病变及大部形成空洞或空腔,大部病变空洞内壁较为光滑,壁厚而不均匀;左肺气胸(图3B)。超声:下腔静脉肾静脉以下血栓伴重度狭窄(较入院时略有缩窄,图4A~B)。继续抗感染、抗凝治疗;发病第53天彩超:下腔静脉肾静脉水平以下附壁陈旧性血栓(较前明显缩小,图5);3个月彩超:下腔静脉血栓消失。 图1  溶栓前下腔静脉血栓  图2  A:下腔静脉溶栓导管;B:溶栓3天后下腔静脉血栓;图3  A:住院第6天两肺广泛多发团、片状结节,部分内见小空洞;B:住院第16天两肺多发球形或团状病变,大部形成空洞或空腔;左肺气胸  图4  住院第16天A:下腔静脉血栓;B:彩色多普勒能量图下腔静脉管腔内窄带状血流信号  图5 发病第53天下腔静脉后壁陈旧性血栓(IVC:下腔静脉,AO:腹主动脉,RK:右肾,TH:血栓,MKV:主肾静脉,RKV:右肾静脉)讨论  下腔静脉血栓(inferior vena cava thrombosis,IVCT)是一种比较严重且危急的疾病,可导致急性肺栓塞而危及患者生命[1]。众所周知:炎症和血栓不是相互独立的病理过程,一方面炎症促进血液高凝状态,易导致血栓形成;另一方面血栓形成中的物质也可引起炎症;二者相互作用、恶性循环。导管接触性溶栓(catheter-directed thrombolysis,CDT)是导管置于血栓内部,增加溶栓药物与血栓的接触面积,全程作用于血栓内部,增加局部药物浓度,提高溶栓效率,避免短时大剂量应用溶栓药物带来的出血等风险,使溶栓效果更确切、安全有效[2]。本病例溶栓后血栓大面积延伸、脓毒血症发生,分析原因有二:一是溶栓前患儿已有感染症状、金葡菌阳性,白细胞低、免疫力低下;二是溶栓后,导管进入血栓内部,会导致血栓物质与炎症因子的进一步结合,加速血栓发展、形成严重的全身化脓性感染。另外,对于无明确伴发炎症的IVCT,进行CDT必须在置管过程保证严格无菌操作,以防出现导管内感染、脓毒症发生。脓毒症指由感染引起的全身炎症反应综合征,可由身体任何部位感染导致,如蜂窝织炎、脓肿、脑膜炎等,常出现明显肝功能受损[3];本患儿感染来源于面部疖肿既往史。WBC是重要的血细胞,具有吞噬异物的作用,可抵抗病原体入侵。吴青等指出WBC计数检测结果易受机体免疫、应激、疾病等多种非感染性因素影响,如免疫力低下的患儿细菌感染严重时WBC计数升高也不明显,对疾病状态无法正确评价[4]。该患儿初期WBC低于正常水平,后经正常至显著升高,与上述解释一致。下腔静脉内占位病变包括血栓、癌栓、肿瘤及假性病变等,以血栓最为常见。该患儿既往体健,结合病史可以明确下腔静脉血栓。血栓早期为急性、亚急性期,灰阶超声表现为极低回声或低回声,管径相应增宽;慢性期则表现为中等回声或钙化强回声,管径变细。彩色超声示血栓内无血流信号,与管壁分界不清[5]。该病例住院前县医院超声检查、住院后急诊床旁超声检查,灰阶模式声像图表现由团状高回声转归为长带状不均匀低-高回声(图1,2B),虽不影响血栓诊断,但受仪器条件限制管壁与管腔显示欠清晰。后两次检查均使用大型超声诊断仪采集声像图,血栓由带状等回声转归为带状高回声,管壁与管腔清晰度明显提高(图4A,5)。彩色多普勒能量图(CDE)是一种以能量模式显示的血流成像技术,具有更高的血流敏感性,尤其是显示流速较低的静脉边缘血流,血流充盈度更真实(图4B)。综上所述,超声医生在诊断中应该详细追问病史、结合实验室,明确诊断是单纯性血栓,还是血栓伴脓栓,为临床医生实施CDT治疗提供可靠依据。参考文献[1] 张志文,陈学明,冯海,李晨宇,于宏志,张忠涛.临时滤器联合经导管血栓抽吸术和导管接触性溶栓治疗下腔静脉血栓[J].中国血管外科杂志(电子),2020,12(3):222-226.DOI:10.3969/j.issn.1674-7429.2020.03.011[2] Wang L,Zhang C,Mu S,et al.Safety of catheter-directed thrombolysis for the treatmentof acute lower extremity deep vein thrombosis:a systematic review and meta-analysis[J]. Medicine, 2017, 96(35):e7922.DOI:10.1097/MD.0000000000007922.[3] 张韬,张丽娟,王红霞.脓毒症患者病原学特征、肝功能及sTREM-1水平分析[J].中国病原生物学杂志,2019,14(06):710-712.DOI:10.13350./j.cjpb.190619.[4] 吴青,柴建农,徐咏梅,等.常用检验指标在无明显感染灶幼儿急性发热诊断中的价值[J].临床儿科杂志,2015,33(05):454-458.DOI:10.3969j.issn.1000-3606.2015.05.014.[5] 宋奕宁,赵艺超,李建国.下腔静脉肿瘤的超声影像诊断与鉴别[J].中国超声医学杂志,2018,34(1):37-39.DOI:10.3969/j.issn.1002-0101.2018.01.012.

2021-12-22

髂静脉压迫综合征的文献复习与研究

河北医科大学第二医院   东院区超声科  赵雅培髂静脉压迫综合征(iliac vein compression syndrome,IVCS)是指髂静脉被从其前方跨过的髂动脉压迫(图1),导致静脉管腔内粘连、管腔狭窄或闭塞等改变,继而引起髂静脉血流受阻,下肢和盆腔静脉回流障碍,产生一系列临床症状的综合征[1];也是下肢慢性静脉疾病(Chronic Venous Disease, CVD)的常见病因之一。Neglen等多位学者指出:针对CVD患者的扫查应尽可能包括下腔静脉和髂静脉,且髂静脉使用超声显示失败率低至5%[2,3]。超声血管增强技术(vascular enhancement technology, VET),又称超声数字减影技术,采用彩色多普勒能量血流数据来强化二维的图像质量,可选择增强大的血管或微血管系统,提高血管腔及血管壁的清晰度,降低部分容积效应产生的伪像(图2)[4]。彩色多普勒超声(color Doppler ultrasound, CDUS)可无创、重复、便捷地获取高清晰度的静脉解剖结构二维图像如:管壁、管腔、瓣膜结构等;对于血管检查,这种声像学检查的一大亮点为动态评估静脉内血流动力学改变,已作为“金标准”评估静脉反流的情况[5]。 图1 IVCS图示        图2    比较LCIV的灰阶超声、CDFI、CDE、VET超声声像图    髂静脉正常超声声像图表现[6]:灰阶超声:显示髂总动脉后髂静脉,观测静脉腔是否受压狭窄;在管腔狭窄处测量髂静脉前后径和横径。CDFI:检查髂静脉是否通畅、血流方向及充盈程度。PW:观察血流频谱形态及其远端随心动和呼吸周期的变化。如果髂静脉腔内发现异常(如血栓等),应确定其部位,测量其大小和范围、检测异常处及其近端和远端的多普勒血流频谱。IVCS超声声像图表现[6]:灰阶超声及CDFI:髂总动脉后髂静脉受压狭窄,远端髂静脉扩张。PW:狭窄处血流增快,其远端血流速度明显减慢,随心动和呼吸周期的变化减弱或消失。X线顺行静脉造影(X-Rayvenography, XRV)诊断IVCS标准[7]:髂静脉的横径增宽,侧位出现髂总动脉压迹;髂总静脉受压段出现塌陷、局限性显影密度降低,或受压段远侧静脉向两侧膨出;静脉前后壁出现粘连,或有束状带形成,且管壁出现强直与充盈缺损症状;有大量盆腔侧支循环形成,且腰升静脉出现明显扩张(图3)。 图3 IVCS的XRV表现CDUS诊断IVCS标准[8]:髂静脉横断面测量前后径(管腔内有异常回声者,测量残余管腔最窄处的前后径)计算直径狭窄比率 (DSR),>50%为阳性。DSR=(髂总静脉相对正常处管径-髂静脉最狭窄处管径)/髂总静脉相对正常处管径×100%。CVD因静脉的结构或功能异常而使静脉血回流不畅、静脉压力过高导致的一系列症状(患肢沉重感、疲劳、酸胀等)和体征为特征的综合征。其涵盖范围较下肢慢性静脉功能不全(Chronic Venous Insufficiency,CVI)更加广泛,纳入了更多处于疾病早期的患者,包括一些表现较轻的毛细血管扩张、蜘蛛静脉、网状静脉等,对患者早期治疗、延缓疾病进展具有重要意义[9-11]。针对CVD临床表现评估常用2004版美国静脉论坛修订静脉分类(clinic,etiologic,anatomic and pathophysiological classification,CEAP)系统,包括C0~C6在内的7个临床分级[12]:C0~C6在内的7个临床分级。C0为有症状(不安腿)无可见静脉疾病迹象,C1为毛细血管扩张(内径<1mm)或网状静脉(内径1-3mm),C2为静脉曲张(直立位内径>3mm,呈扭曲状),C3为静脉性水肿(由静脉疾病引起的水肿,通常发生于踝周,应与其他疾病引起的水肿相鉴别),C4表示为继发于CVD的皮肤和皮下组织改变[包含两个亚类,分别为 C4a(色素沉着或湿疹)及C4b(脂性硬皮病或白色萎缩症)],C5、C6分别表示为愈合期溃疡及活动性溃疡。 赵雅培等研究表明[13]:CDUS 联合 VET 对 IVCS 的诊断效能最大,优于 CDUS、VET 单独诊断;IVCS与下肢DVT关系密切;IVCS与CVD-CEAP临床分级无相关性;IVCS 发生最常见部位是左髂总静脉起始段狭窄;侧支循环形成可作为诊断 IVCS 的间接指标,髂内静脉反向血流对诊断IVCS无统计学意义(图4)。王汉军等研究指出[14]:IVCS 除了引起的下肢和盆腔静脉回流障碍,还是下肢深静脉血栓形成的重要原因。左侧髂总静脉直径每减少1mm,发生深静脉血栓概率提升1.68倍。井元虎等研究表明[15]:髂静脉压迫综合征病因复杂,其与下肢静脉曲张临床分级无显著相关。髂静脉受压引起同侧下肢静脉系统血液动力学改变,临床表现缺乏特殊性,确诊依靠影像学,影像学检查方法又呈现多样化。上述学者研究基本一致。 图4 IVCS髂内静脉反向血流和侧支静脉形成2019版《意大利CEAP C0s~C3临床分类慢性静脉疾病患者保守治疗专家共识》中声明3指出[16]:C0~C1级有症状时应始终推荐压迫治疗;C2~C3级患者中无论是否有临床症状均应推荐压迫治疗。2019版《中国慢性静脉疾病诊断与治疗指南》中针对压力治疗CVD的推荐意见如下[17]:C2~C3及C4~C5患者弹力袜压力的选择应分别考虑20~30mmHg、30~40mmHg。综上所述,IVCS作为CVD的常见病因,掌握其超声检查方法和诊断依据势在必行。 参考文献[1] 汪忠镐,张建,谷涌泉.实用血管外科与血管介入治疗学[M].北京:人民军医出版社,2004:354-363.[2] Neglen P, Eklöf B, Kulwicki A, et al. Prevention and treatment of venous ulcers in primary chronic venous insufficiency[J]. J Vasc Surg. 2010 Nov;52(5 Suppl):15S-20S. [3] 刘勇,文哲,赵晓宁,等.超声诊断髂静脉压迫综合征的价值[J].中国超声医学志,2016,(6):536-539.[4] 段云友,刘禧,侯卫华,等.超声血管增强技术在外周及颅脑血管疾病检测应用的初步研究[J].中国超声医学杂志,2008(04):311-314.[5] 韩道正,沈超,周云,等.下肢静脉影像学检查在静脉功能不全术前评估中的研究进展[J].血管与腔内血管外科杂志,2017,3(02):685-689.[6] 中国医师协会超声医师分会. 血管和浅表器官超声检查指南[J]. 人民军医出版社, 2011.[7] 傅建华,王亚非,楼文胜,等.下肢静脉曲张的泡沫硬化与腔内射频治疗的疗效观察与对比分析[J].介入放射学杂志,2013,(2):106-112.[8] 何运良,刘素芬,蒋米尔. 髂静脉压迫综合征静脉造影影像学研究[J]. 中国临床医学影像杂志,2007:18(7),509-511.[9] Nicolaides AN, Allegra C, Bergan J, et al. Management of chronic venous disorders of the lower limbs: guidelines according to scientific evidence[J]. Int Angiol, 2008, 27(1):1-59. [10]Cronenwett JL, Johnston KW. Rutherford's vascular surgery [M]. 8th ed,Philadelphia: Elsevier, 2014:842-857.[11]中华医学会外科分会血管外科学组. 慢性下肢静脉疾病诊断与治疗中国专家共识[J]. 中华普通外科杂志,2014,29(3):143-151.[12]Eklöf B, Rutherford RB, Bergan JJ,et al.Revision of the CEAP classification for chronic venous disorders: consensus statement[J]. J Vasc Surg. 2004 Dec;40(6):1248-1252.[13]赵雅培,张金文,翟斐,等.彩色多普勒超声联合血管增强技术诊断髂静脉压迫综合征的临床价值[J].中华超声影像学杂志,2020,29(02):158-163.[14]王汉军,黄新天.髂静脉受压综合征的研究近况[J].中国现代普通外科进展,2010,  (2):134- 137.[15]井元虎. 非血栓性髂静脉狭窄率测定与临床分级相关性的研究[D]. 大连医科大学, 2018:1-32.[16]Vitale C, Lucchi M, Bissacco D,et al.Expert consensus on the conservative management of patients with chronic venous disease in CEAP clinical classes C0s-C3 in Italy[J]. Phlebology. 2020 Jun;35(5):316-324. [17]中华医学会外科学分会血管外科学组,中国医师协会血管外科医师分会,中国医疗保健国际交流促进会血管外科分会,等.中国慢性静脉疾病诊断与治疗指南[J].中华医学杂志,2019(39):3047-3061.

2021-12-21