服务热线
18532111192
中国超声医学工程学会 | 2022-03-24
作者:刘慧新
单位:河北医科大学第三医院超声医学科
阴囊超声检查的内容:
附睾
睾丸
蔓状静脉丛
精索、精索静脉及腹股沟区
(精索的扫查应包括睾丸动脉、提睾肌动脉、输精管、蔓状动脉丛、神经及淋巴管等)

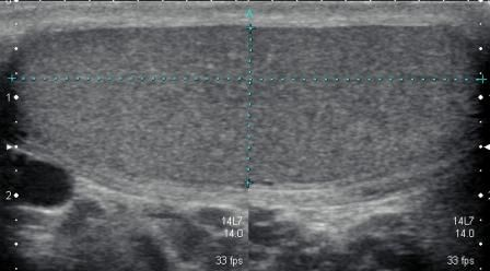
探头纵向扫查睾丸

正常睾丸矢状面图像

阴囊结构解剖

正常附睾头矢状位图像
阴囊超声检查
超声在阴囊检查中的作用
阴囊的超声检查通常用于以下方面:
疼痛
疼痛位置?(哪一侧)
疼痛性质?(钝痛还是锐痛)
疼痛频率?(持续还是偶尔)
疼痛发生的时间?急性还是慢性
是否向上腹部放射?
阴囊外伤
不育症病因筛查
睾丸发育不良或下降异常
阴囊急症(急性炎症?创伤?扭转?等)的诊断
精索静脉曲张的诊断及曲张程度
鞘膜积液
阴囊及阴囊外组织感染(睾丸及附睾炎症、前列腺炎等)
多囊肾
隐睾症
超声探头的选择及仪器调节
对阴囊内部结构进行扫查,应使用高频探头(7-15MHz)。
评估睾丸内部血流情况时,应适当调节彩色/频谱多普勒条件(低脉冲、高增益)
当阴囊明显肿大,不能显示全貌时,以及寻找腹盆腔内隐睾时,适度调整超声探头频率,加用低频率凸阵探头。
扫查技术
病人的准备
必须确保患者在舒适状态进行检查。
使用毛巾或者患者自身衣物将阴茎覆盖并上提,以助于更好的暴露和固定阴囊。
尽可能使用温度适宜的超声耦合剂进行检查。
首先对阴囊进行横切面扫查,显示双侧睾丸,对比双侧睾丸内部回声。
分别对两侧睾丸进行纵切及横切面连续扫查。
在扫查过程中,可能需要对所扫查侧的睾丸稍加用力,以更好的固定睾丸;当对一侧鞘膜积液进行扫查及测量时,探头要轻微,不可加压扫查。
首先确定附睾头位置,横切面向下依次扫查附睾体及附睾尾部。
应用频谱多普勒评估睾丸内部及周围血管情况。
当对精索静脉及疝气进行检查时,应嘱患者在站立位状态下进行Valsalva动作。
如果在扫查过程中,发现患者存在精索静脉曲张,应扩大扫查范围,完整评估睾丸静脉的起始点。(例如:是否有睾丸外肿物压迫睾丸静脉)
如果怀疑患者存在疝气,需按疝气扫查标准进行检查
常见疾病
睾丸外肿物或软组织肿胀
鞘膜积液
睾丸炎症、附睾炎症或睾丸-附睾炎
附睾囊肿
精索静脉曲张
隐睾症或睾丸下降异常
阴囊丘疹
睾丸微石症
阴囊疼痛伴肿胀的4个主要原因:
睾丸扭转(20%)
阴囊软组织感染/炎症(75-80%)
阴囊及周围软组织出血
阴囊或腹股沟位崁顿疝
扭转致急性睾丸坏死,最终致睾丸外形萎缩,睾丸扭转属于外科急症,需立即外科手术处理。
引起阴囊疼痛的疾病中附睾炎与扭转的比例与年龄相关:
附睾炎:扭转 =3:2(年龄小于20岁人群)
附睾炎:扭转 =9:1(年龄大于20岁人群)
阴囊内部肿物
生殖细胞肿瘤
精原细胞瘤
除精原细胞瘤外生殖细胞肿瘤
阴囊超声检查描述
阴囊超声检查应包括以下方面:
横切面上显示两侧睾丸回声
每侧睾丸分别进行横切面及纵切面扫查
每侧睾丸最大横切面测量
每侧睾丸纵切面图像
每侧睾丸最大纵切面测量
双侧附睾扫查:包括附睾头、体、尾部
彩色多普勒显示两侧睾丸内部的血流信号情况
精索静脉扫查
超声报告中记录正常的睾丸解剖结构(如大小、内部回声、血流情况及周围软组织表现)。
如发现异常回声,需在纵横两个切面进行扫查并测量,显示病灶的血流情况
腹股沟淋巴结有无异常增大